Unieke MRI-scanner voor paarden
EquiSound beschikt over het eerste MRI-toestel in de Benelux dat het paard kan scannen van ondervoet tot de achterknie, inclusief het hoofd en de nek. Het is ook de eerste MRI-scanner ter wereld die een paard zowel rechtopstaand als liggend in beeld kan brengen. Geen enkel onderdeeltje van het paard, van ledematen tot hoofd, ontsnapt nog aan het oog van onze dierenartsen.
Een MRI-scanner is een geavanceerd toestel dat ons in staat stelt zowel de weke delen (ligamenten, pezen en kraakbeen) als het beenderstel van een paard in 3 dimensies te evalueren (3D). Dit is niet mogelijk met radiografie en echografie. Bovendien levert de technologie veel gedetailleerdere beelden af dan radiologie, echografie of CT. De interpretatie van de MRI-beelden wordt bij EquiSound ondersteund door ervaren MRI-specialisten Myra Barrett en Kurt Selberg vanuit de USA . Op die manier verzekert EquiSound topdiagnostiek bij uw paard vanaf het eerste uur.

Rechtstaand of liggend
Het hoogtechnologische toestel van EquiSound kan een paard zowel in een rechtstaande als liggende positie scannen. De ondervoet onderzoeken we bijvoorbeeld terwijl het paard recht blijft staan. Om bijvoorbeeld de achterknie te scannen, brengen we het paard dan weer even onder narcose (algemene anesthesie). Dit is noodzakelijk omdat het paard anders te veel beweegt. Elke opname neemt immers 3 tot 6 minuten in beslag. Van paarden onder algemene anesthesie kunnen we bovendien beelden maken met een hogere resolutie. Zo kan de prognose voor uw paard nog beter ingeschat worden. Een geassisteerde recovery zorgt ervoor dat het paard veilig ontwaakt.

Hoe werkt MRI?
MRI is een beeldvormingstechnologie die gebruik maakt van magnetische velden en radiogolven. Tijdens de scan wordt het dier in een magnetisch veld gebracht. Hierdoor gaan alle waterstofatomen in dezelfde richting bewegen. Met behulp van een radiogolf worden de waterstofatomen kort uit evenwicht gebracht, waarna ze opnieuw in dezelfde richting bewegen. Hierbij wordt energie afgegeven die wordt opgevangen door een antenne. Een computer vertaalt deze opgevangen energie vervolgens naar een beeld. Elk type weefsel (bot, vet, zenuwweefsel, spierweefsel,…) bevat een bepaald gehalte aan waterstofatomen die met een verschillende snelheid terugvallen in hun uitgangspositie. Dit zorgt ervoor dat ze van elkaar kunnen onderscheiden worden op de MRI-beelden.
Op basis van de interactie van de waterstofatomen en het magnetisch veld kunnen verschillende soorten beelden worden gemaakt (= verschillende sequenties). De sequenties kunnen in drie verschillende richtingen uitgevoerd worden. Al deze beelden samen, geven enorm veel informatie over de oorsprong en aard van de weefsels en afwijkingen.

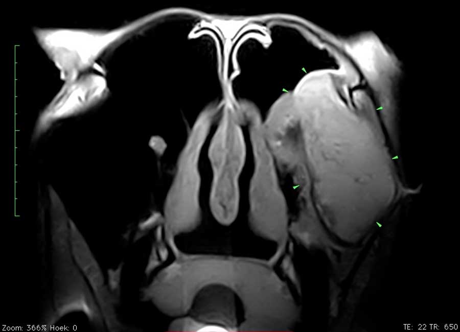
Voorbeeld
Dit paard had sinds enkele weken een unilaterale bloederige neusvloei. Op endoscopisch onderzoek was slechts een minimale afwijking ter hoogte van het linker ethmoid te zien. Bij radiografisch onderzoek was een grote massa in de sinus te zien. Er werd beslist een pre-operatieve MRI uit te voeren om de operatie te plannen en ook prognose beter te kunnen inschatten. Het ethmoid hematoom (PEH) bleek een groot deel van de linker sinus ingenomen te hebben.


